Faccette sistema Cerec primo caso

Segui i nostri casi sui social:

Faccette sistema Cerec primo caso

Le faccette – sottili gusci in ceramica integrale o composito – realizzate con tecnologia Cerec rappresentano la soluzione ideale per eseguire restauri dentali nell’arco di una seduta.
La tecnologia Cerec è un’attrezzatura di ultima generazione dotata di un dispositivo digitale che rileva impronte ottiche istantanee, di massima precisione e senza contatto. Con un software dedicato elaboriamo le immagini acquisite e realizziamo virtualmente il modello delle arcate dentali. Sul modello ottenuto progettiamo le faccette con la massima precisione e attenzione per ogni dettaglio, quindi una macchina di fresatura realizza il restauro progettato.
A differenza delle tecniche tradizionali, con l’innovativo sistema Cerec siamo in grado di progettare e realizzare faccette in poco tempo. I vantaggi sono nell’utilizzo di materiali con eccellenti caratteristiche estetiche e funzionali, nell’elevata precisione e nella riduzione dei tempi di attesa.

DESCRIZIONE DEL CASO
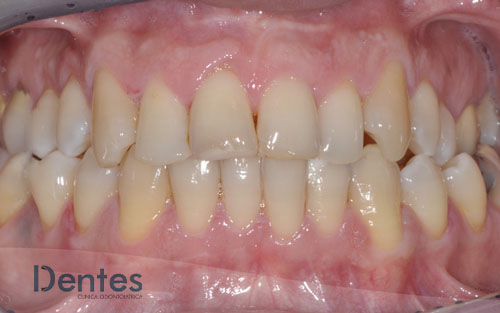
Il paziente giunge in studio con asimmetria dentale.
Attraverso un mock-up è stato eseguito lo studio preliminare e, insieme al paziente è stata concordata la forma dentale definitiva da ottenere. I denti sono stati preparati al trattamento attraverso la rilevazione delle impronte, la realizzazione delle faccette, con relativa prova estetica e di colore, e l’applicazione delle stesse.

Gallery


Prima / Dopo Faccette sistema Cerec primo caso

Preparazione Prima di procedere con la realizzazione e applicazione delle faccette, si esegue un mock-up, l’applicazione di faccette simili a quelle definitive per un'anteprima reale del risultato finale.
Si preparano i denti al trattamento rilevando le impronte, realizzando le faccette con il supporto della tecnologia Cerec e applicandole.

Risultato finale Allineamento degli elementi dentali, nuovo colore e notevole miglioramento estetico.